1. 癌症与癌细胞
癌症通常是由于细胞基因发生错误或不正确的表达,使细胞分化和增殖异常,生长失去控制,并可侵袭身体的临近部位和扩散到其它器官。
癌细胞与正常细胞相比,有以下几点不同:
无限增殖,失去生长控制的调控,相比于正常细胞最大分裂次数的限制,癌细胞可无限增殖
组织浸润与转移,主要是具备了上皮间质转化的能力,所以能够通过循环系统到达远处的实质组织,除此之外也可以直接向周围的实质组织浸润
形态大小变化,正常细胞大小相对一致,而癌细胞内的细胞核体积多样,会出现巨核,双核,多核或异形核形态,细胞浆的质和量也跟正常细胞有一定差别
免疫逃避,癌细胞通过多种机制逃避免疫系统的监视和清除,最主要的是癌细胞表面具有与免疫细胞结合的表达免疫检查点分子,从而避免免疫细胞发挥作用
诱导血管生成,细胞长时间存活需要持续提供营养和氧气,这些也是肿瘤细胞需要的物质。癌细胞可以诱导血管生成获得必要营养。在癌症的发展期间,血管还会随着肿瘤的生长不断生存,保持着比较完善的血管系统,因此在发现癌症的时候,就只有进行切除,才能够将肿瘤*解决。
2. 显微成像技术在癌症研究中的应用
依据癌细胞在分子表达层面和细胞组织层面的变化,运用各类显微成像技术对癌细胞进行筛选与识别,以下是在癌症研究中常见的几类显微成像技术应用:
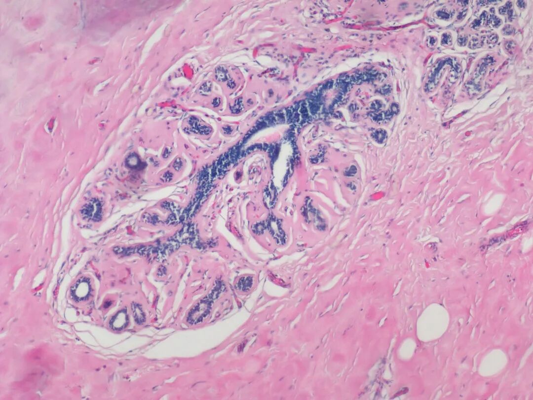
(1)病理切片通过手术切除或穿刺活检得到肿瘤组织来进行分子分型是临床上判断癌症的金标准。病理切片如何确认是否有癌细胞的关键要在于显微镜下的观察,通常是在显微镜下对病理切片进行染色以后观察其中的细胞的形态是否满足癌细胞的特征。
常用的染色方法是苏木素-伊红(Hematoxylin-Eosin)染色法,简称H.E染色法。这种方法对任何固定液固定的组织和应用各种包埋法的切片均可使用。苏木素是一种碱性染料,可使组织中的嗜碱性物质染成蓝色,如细胞核中的染色质等;伊红是一种酸性染料,可使组织中的嗜酸性物质染成红色,如多数细胞的胞质、核仁等在H.E染色的切片中均呈红色。

明美生物显微镜搭配msx2拍摄HE染色的乳腺癌病理切片,红色为胞质,蓝色为染色体
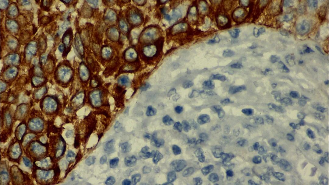
(2)免疫组化(IHC)免疫组化,通俗的含义就是把癌组织中的癌细胞放大到分子级别,通过显微镜看看在这个水平上有哪些跟别的细胞不一样的特征,因为蛋白质在体内出现的位置不一样,有的蛋白遍布全身,有的蛋白只出现在某些特定的器官与组织中,通过直接直观地观察组织和细胞里是否存在一些蛋白质的方法,来确定肿瘤的分子分型,判断肿瘤的原发位置,肿瘤恶性程度及预后效果。

ML51+MSX2拍摄的免疫组化病理组织

IHC-HER2检测,癌细胞形态变化,伴随血管生成
(3)原位荧光杂交(FISH)荧光原位杂交技术是一种使用荧光素标记探针,以检测探针和分裂中期的染色体或分裂间期的染色质的杂交。其基本原理是:以核酸碱基互补配对原则为基础所发展起来的检测技术,主要利用DNA序列的互补性,通过荧光标记的DNA探针与预处理的待测样本的DNA进行原位杂交,在荧光显微镜下, 对荧光信号进行辨别和计数,即可对细胞、组织样本中的染色体或基因异常进行检测和诊断。
不同种类癌细胞具有特异性的基因片段,使用FISH技术进行特异性标记,通过特异性荧光信号的表达特征,来判断是否有癌细胞或癌细胞种类。临床应用中,在乳腺癌、宫颈癌、膀胱癌、血液肿瘤等诊断和指导用药等方面,FISH有很好的优势。

MF43-N+MC50-S搭配四波段光源拍摄的FISH图像
(4)循环肿瘤检测(CTC)癌细胞具有组织浸润和转移的特征,可以脱离原发病灶进入循环系统。循环肿瘤细胞就是指从实体瘤中脱离出来并进入外周血液循环的肿瘤细胞。通过对血液中CTC的数量以及蛋白表达、基因序列的检测等,可以获得肿瘤的相关病变的信息,可以弥补肿瘤组织难以获得的局限性,而且CTC可以重复进行取样,具有实时监测的功能。

MF43-N拍摄的CTC检测
(5)肿瘤细胞培养研究肿瘤细胞培养是研究癌变机理、肿瘤细胞及其特征分子生物学特征、药物敏感性的重要手段。癌细胞是目前所建立的细胞系中占比最多的,该应用对肿瘤研究具有很多优点:①便于从细胞水平上对肿瘤细胞结构功能进行研究,同时也可从基因及分子水平上对癌变机理进行探究;②可长期传代,便于对肿瘤细胞生物学特征和遗传行为进行观察研究;③可用于快速筛选药物及耐药机理研究。

肿瘤细胞培养-划痕实验
3. 显微成像在癌症研究应用中的难点
(1)多色荧光显微成像中各荧光团信号的获得
癌细胞通常具有一个或多个特异性的标记物,对应的需要使用多种荧光染料或荧光探针,如何在一张图像中获得多通道的荧光信号具有一定的挑战性。挑战主要来自以下几个方面:
①激发光源,多通道荧光成像要求激发光源有比较宽的光谱,在荧光染料或荧光探针的激发光谱有比较好的峰值特征;②滤光片,针对不同荧光染料选择合适的滤光片,保证荧光信号的通过,避免其他杂光的干扰;③成像质量,荧光信号通常比较微弱,选用高灵敏度的相机,有利于捕获微弱的荧光信号;④荧光图像处理,针对多通道荧光图像叠加的处理方式,需要保证叠加图像的稳定性和清晰度。
(2)病理切片的判读与扫描
临床上,通过病理切片对癌细胞进行分子分型是癌症诊断的金标准。典型的病理观察是通过移动载物台在高倍物镜下找到局部病变组织并进行判断和分型,这一方法有几点限制:
①高倍镜成像区域较小,对整个切片组织中的异常细胞进行定位需要多次移动载物台,耗时耗力,对操作人员要求较高;②无法在一张图上对整个切片组织进行成像,无法满足对判断病理组织整体形态特征的需求。对此的解决方案一般是采用切片扫描系统,通过电动化的扫描平台和拼接分析软件,获得高分辨率全局图,方便对切片组织整体形态进行病理分析,同时可以方便定位局部病理组织并进行放大观察。
4. 明美解决方案

(1)全能型:切片扫描系统+常规明场荧光成像二合一推荐:明美数字切片扫描系统+MF43-N+MSX2/MS60
同时兼顾少量切片扫描需求与常规明场荧光观察功能
明美切片扫描系统可单独搭配部分四大各品牌
可应用于常规病理切片扫描观测、CTC、FISH、IHC检测等

(2)FISH、CTC、IHC检测推荐:MF43-N/MF53-N+MC50-S/MS23+FISH软件
配备荧光模块,依据研究观测需要,可搭配B\G\U\Y\R等荧光通道
高灵敏度相机,微弱荧光信号也能清晰成像
FISH软件,智能优化荧光图像,一键合成多色荧光图像

(3)常规明场切片观察推荐:ML31/ML41/ML51+MS60/MSX2
高品质物镜,高分辨率成像,细节把握更清晰
高稳定性载物台,长时间使用更轻松
高分辨率相机,图像真实色彩高还原

(4)癌细胞培养研究观测推荐:活细胞成像仪+平板/手机
小巧轻便,放置在超净工作台上不占空间
无线连接手机或平板电脑,避免接触造成污染
可集约化配备明场、相差和单色或多色荧光功能,应对不同细胞观测要求

(5)四大各品牌荧光显微镜升级推荐:正置6孔荧光转盘/原配荧光臂 + MG-100/MG-120 + MS23/MC50-S + MFISH软件
明美提供多种不同规格滤光片组,适配四大各品牌主流荧光模块
MG-100/MG-120新型LED荧光光源有稳定的激发效果,即开即用寿命长
高灵敏度相机MS23/MC50-S,搭配MFISH软件满足高质量FISH成像需要
升级成本性价比高,荧光效果出色
明美是一家专注显微成像产品研发与销售的高新技术企业,是中国仪器仪表行业协会光学分会理事单位,医疗器械显微镜生产及经营厂家。
公司一直坚持诚信经营,用心服务,提供显微成像解决方案。为教育、科研、医药、工业检测等广大客户提供高效、稳定的产品与服务。
始终以客户需求为中心,以品质为根本,以创新为方向,推动显微行业的数字化、电动化、智能化,为显微领域的国产化进程贡献力量。
您若对显微成像产品有兴趣或存在疑惑,明美光电欢迎您咨询,期待与您相约!